목차

백혈구는 우리 몸의 면역체계에서 중요한 역할을 하는 혈액 세포입니다.
백혈구는 몸을 보호하는 군대처럼 세균, 바이러스, 기생충 등의 외부 침입자와 싸워 감염을 막고, 몸속에서 병균을 제거하는 일을 하죠.
백혈구 수치가 낮은 이유는 여러 가지가 있을 수 있는데, 백혈구는 면역체계의 중요한 부분이기 때문에, 이를 만드는 과정에 문제가 생기면 백혈구 수치가 낮아질 수 있습니다.😢
아래에서 백혈구 수치가 낮은 이유 12가지 총정리에 대한 내용을 알아보겠습니다.
비타민d 효능 13가지 총정리
비타민 D는 우리 몸에서 칼슘과 인의 흡수를 도와 뼈를 튼튼하게 유지하는 데 중요한 영양소입니다. 비타민 D의 주요 역할은 뼈와 근육을 건강하게 유지하는 것이죠. 비타민 D는 햇빛을 통해 피
satporobeer.com
백혈구 수치가 낮은 이유 12가지 총정리


백혈구 수치가 낮은 이유에는 여러 가지가 있습니다.
다음은 백혈구 수치가 낮은 이유 12가지입니다.
| 백혈구 수치가 낮은 이유 | 설명 |
| 화학요법 약물 | 항암치료에 사용되는 약물이 백혈구 생성을 억제할 수 있음. |
| 기타 약물 | 일부 항생제나 다른 약물도 백혈구 수를 감소시킬 수 있음. |
| HIV | 면역체계를 직접적으로 공격하는 바이러스 감염. |
| 기타 바이러스성 감염 | 다양한 바이러스 감염이 일시적으로 백혈구 수를 낮출 수 있음. |
| 중증 세균성 감염 | 패혈증과 같은 심각한 감염이 백혈구 수에 영향을 줄 수 있음. |
| 골수 기능 저하 | 항암치료나 방사선 치료 후 골수 기능이 회복되지 않아 감소할 수 있음. |
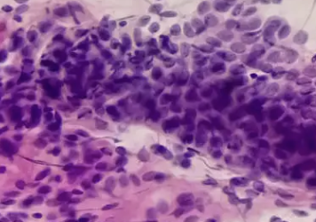
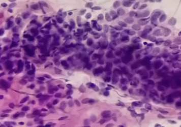
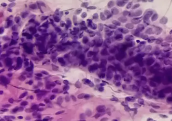
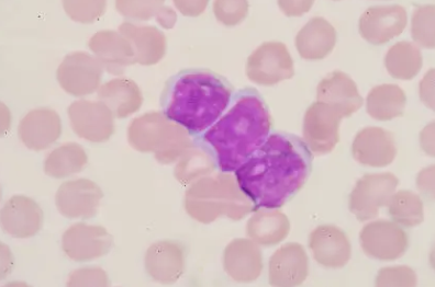
| 골수 질환 | 백혈병 등으로 인해 정상적인 백혈구 생성이 방해받을 수 있음. |
| 루푸스 | 면역체계가 자신의 조직을 공격하여 백혈구 수 감소를 유발할 수 있음. |
| 비타민 B12 결핍 | 이 비타민은 백혈구 생성에 중요한 역할을 함. |
| 엽산 결핍 | 엽산도 백혈구 생성에 필수적임. |
| 선천성 백혈구 감소증 | 일부 유전적 조건으로 인해 백혈구 수가 낮을 수 있음. |
| 심한 스트레스 | 극심한 스트레스 상황이 일시적으로 백혈구 수를 감소시킬 수 있음. |
아래에서 백혈구 수치가 낮은 이유 12가지에 대해 자세하게 알려드리겠습니다.
*약물 관련*
1. 화학요법 약물



항암치료에 사용되는 약물은 백혈구 생성을 억제할 수 있습니다. 화학요법은 암세포를 공격하는 동시에 골수에서 백혈구를 만드는 기능도 약화시키기 때문에 백혈구 수가 감소할 수 있습니다.
혈액암 증상 10가지 총정리
혈액암은 혈액, 골수, 림프계와 같은 혈액을 생성하거나 조절하는 조직에서 발생하는 암입니다. 혈액암이 생기면 비정상적인 세포들이 만들어져서, 정상적인 혈액 세포들의 기능을 방해하고,
satporobeer.com
2. 기타 약물



일부 항생제나 다른 약물들도 백혈구 수를 감소시킬 수 있습니다. 특정 약물은 면역체계에 영향을 미쳐 백혈구 생성에 방해를 줄 수 있습니다.
*감염*
3. HIV



HIV 바이러스는 면역체계를 직접적으로 공격하여 백혈구 수를 낮춥니다. 이 바이러스는 특히 면역세포 중 하나인 CD4+ T 세포를 파괴해 면역력을 크게 약화시킵니다.
림프종 증상 10가지 총정리
림프종은 림프계에서 발생하는 암의 한 종류입니다. 림프계는 몸속에서 병균이나 세균을 제거하고, 면역세포들을 통해 몸을 보호하는 역할을 하는데요.림프종이 생기면 림프계에 있는 백혈구(
satporobeer.com
4. 기타 바이러스성 감염



다양한 바이러스 감염은 일시적으로 백혈구 수를 낮출 수 있습니다. 감염 초기에는 몸이 바이러스에 대응하느라 백혈구 수가 감소할 수 있습니다.
5. 중증 세균성 감염



패혈증과 같은 심각한 감염은 백혈구 수에 큰 영향을 줄 수 있습니다. 세균 감염이 심해지면 백혈구의 소비가 증가하여 수치가 낮아질 수 있습니다.
*골수 관련 문제*
6. 골수 기능 저하



항암치료나 방사선 치료 후에 골수 기능이 충분히 회복되지 않으면, 백혈구 생성이 감소할 수 있습니다. 골수는 혈액 세포를 만드는 중요한 기관이기 때문에, 손상되면 백혈구 수가 줄어듭니다.
7. 골수 질환



백혈병이나 다른 골수 질환으로 인해 정상적인 백혈구 생성이 방해받을 수 있습니다. 암세포가 골수에서 자라면 백혈구의 생산이 차단되거나 비정상적인 백혈구가 만들어집니다.
*자가면역 질환*
8. 루푸스



루푸스는 자가면역 질환으로, 면역체계가 자신의 조직을 공격하는 병입니다. 이 과정에서 백혈구 수 감소가 일어날 수 있습니다. 면역세포가 자기 몸을 공격하면서 정상적인 백혈구가 줄어듭니다.
*기타 요인*
9. 비타민 B12 결핍



비타민 B12는 백혈구 생성에 중요한 역할을 합니다. B12가 부족하면 골수에서 백혈구를 충분히 생산하지 못해 백혈구 수가 낮아질 수 있습니다.
10. 엽산 결핍



엽산은 백혈구 생성에 필수적인 영양소입니다. 엽산이 부족하면 백혈구의 생산과 성장이 방해받아 면역력이 약해질 수 있습니다.
11. 선천성 백혈구 감소증



유전적 요인으로 인해 발생하는 선천성 백혈구 감소증은 태어날 때부터 백혈구 수가 낮은 상태를 말합니다. 일부 유전적 조건은 백혈구의 생산 능력을 제한할 수 있습니다.
12. 심한 스트레스



극심한 스트레스 상황에서는 일시적으로 백혈구 수가 감소할 수 있습니다. 신체가 스트레스에 반응하면서 면역체계가 약화되어 백혈구가 줄어드는 현상이 나타날 수 있습니다.
백혈구 수치가 낮다고 해서 반드시 면역 기능이 저하된 것은 아닙니다.
그러나 지속적으로 낮은 백혈구 수치는 의사와 상담하여 원인을 파악하고 적절한 조치를 취하는 것이 중요합니다.
특히 발열이나 다른 감염 징후가 있는 경우, 의사는 백혈구를 증가시키는 약물이나 항생제 투여를 고려할 수 있습니다.
마무리
오늘은 백혈구 수치가 낮은 이유 12가지 총정리에 대해 알아보았습니다.
'건강' 카테고리의 다른 글
| 뇌종양 초기증상 10가지 총정리 (6) | 2024.09.27 |
|---|---|
| 백혈병 초기증상 10가지 총정리 (1) | 2024.09.25 |
| 비타민d 효능 13가지 총정리 (12) | 2024.09.23 |
| 혈액암 증상 10가지 총정리 (0) | 2024.09.22 |
| 림프종 증상 10가지 총정리 (1) | 2024.09.20 |
