목차

뇌종양은 뇌 속에 비정상적인 세포가 과도하게 증식하여 생긴 덩어리를 말합니다.
이러한 세포들은 정상적인 뇌 세포와 달리 통제되지 않고 빠르게 성장하여 뇌 기능을 방해할 수 있죠.
아래처럼 뇌종양은 양성과 악성으로 나눌 수 있습니다.
- 양성 뇌종양: 성장이 느리고, 주위 조직으로 퍼지지 않는 종양입니다. 하지만 뇌의 중요한 부분을 압박하면 심각한 증상을 일으킬 수 있습니다.
- 악성 뇌종양(암): 빠르게 자라며, 뇌의 다른 부분이나 몸의 다른 부위로 퍼질 수 있습니다. 뇌암이라고도 불리며, 즉각적인 치료가 필요합니다.
뇌종양은 종양이 생긴 위치에 따라 다양한 증상을 일으킬 수 있죠.😢
아래에서 뇌종양 초기증상 10가지 총정리에 대한 내용을 알아보겠습니다.
백혈병 초기증상 10가지 총정리
백혈병은 혈액암의 일종으로, 백혈구를 만드는 골수에서 비정상적인 백혈구가 과도하게 생성되는 질병입니다. 정상적인 혈액 세포들이 만들어지지 않거나 기능을 제대로 하지 못해 전신적인
satporobeer.com
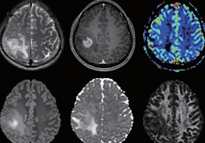
뇌종양 초기증상 10가지 총정리


뇌종양의 초기 증상은 다양하며, 종양의 위치와 크기에 따라 다르게 나타날 수 있습니다.
다음은 뇌종양의 주요 초기 증상 10가지입니다.
| 뇌종양 초기증상 | 설명 |
| 두통 | 아침에 심해지며 기침 시 악화. |
| 오심과 구토 | 두통과 함께 나타날 수 있음. |
| 시력 변화 | 시력 저하, 복시, 시야 손실. |
| 균형 및 보행 문제 | 갑작스러운 균형 감각 저하, 보행 장애. |
| 언어 장애 | 말하기 능력의 점진적 손실. |
| 성격 변화 | 갑작스러운 성격 및 행동 변화. |
| 인지 기능 저하 | 사고 및 학습 능력의 저하. |
| 간질 발작 | 성인에게 처음 나타나는 간질 발작. |
| 청력 문제 | 청력 손실이나 귀울림. |
| 운동 및 감각 능력 저하 | 팔다리의 점진적 운동 및 감각 능력 소실. |
1. 두통



두통은 뇌종양의 가장 흔한 초기 증상 중 하나입니다. 특히 아침에 더 심해지는 두통이 많으며, 기침이나 힘을 줄 때 두통이 악화되는 경우 주의가 필요합니다. 자고 일어난 후 머리가 자주 아프다면 의사와 상담이 필요합니다.
백혈구 수치가 낮은 이유 12가지 총정리
백혈구는 우리 몸의 면역체계에서 중요한 역할을 하는 혈액 세포입니다. 백혈구는 몸을 보호하는 군대처럼 세균, 바이러스, 기생충 등의 외부 침입자와 싸워 감염을 막고, 몸속에서 병균을 제
satporobeer.com
2. 오심과 구토



두통과 함께 오심(메스꺼움)이나 구토가 나타나면, 이는 뇌종양의 신호일 수 있습니다. 일반적인 소화 문제와 달리, 이러한 증상은 뇌압 상승으로 인한 경우가 많습니다.
3. 시력 변화



시력 저하, 복시(물체가 두 개로 보이는 현상), 또는 시야 손실이 발생할 수 있습니다. 시각적 이상은 뇌종양이 시신경을 압박할 때 나타날 수 있는 중요한 증상입니다.
비타민d 효능 13가지 총정리
비타민 D는 우리 몸에서 칼슘과 인의 흡수를 도와 뼈를 튼튼하게 유지하는 데 중요한 영양소입니다. 비타민 D의 주요 역할은 뼈와 근육을 건강하게 유지하는 것이죠. 비타민 D는 햇빛을 통해 피
satporobeer.com
4. 균형 및 보행 문제



갑작스러운 균형 감각 저하나 보행 장애가 나타날 수 있습니다. 뇌의 운동 조절 부분에 문제가 생기면 이러한 증상이 발생하며, 넘어지거나 걷기가 힘들 수 있습니다.
5. 언어 장애



말하기 능력의 점진적 손실이나 언어 장애가 발생할 수 있습니다. 말을 할 때 단어를 찾기 어렵거나 발음이 불명확해질 수 있습니다.
6. 성격 변화



갑작스러운 성격 변화나 행동 변화가 나타날 수 있습니다. 평소와 다른 이상한 행동이나 감정 변화는 뇌의 특정 부위가 영향을 받았을 때 발생할 수 있는 증상입니다.
7. 인지 기능 저하



사고 능력이나 학습 능력의 저하가 발생할 수 있습니다. 기억력이나 집중력이 떨어지고, 문제를 해결하는 능력이 점차 나빠질 수 있습니다.
8. 간질 발작



성인에게 처음으로 나타나는 간질 발작은 뇌종양의 중요한 신호일 수 있습니다. 과거에 발작 경험이 없었는데 갑자기 발작이 나타나면 신경과 진료가 필요합니다.
9. 청력 문제



청력 손실이나 귀울림이 발생할 수 있습니다. 이는 청신경이 압박받거나 손상될 때 나타나는 증상으로, 이명 또는 한쪽 귀의 청력 저하로 시작될 수 있습니다.
10. 운동 및 감각 능력 저하



팔다리의 운동 및 감각 능력 소실이 점진적으로 나타날 수 있습니다. 근력 약화나 감각 둔화가 나타나면 뇌종양이 운동 신경을 방해할 수 있기 때문에 주의가 필요합니다.
이러한 증상들이 지속되거나 악화되는 경우, 즉시 의료진의 진단을 받는 것이 중요합니다.
뇌종양의 조기 발견과 치료는 예후에 큰 영향을 미칠 수 있습니다.
마무리
오늘은 뇌종양 초기증상 10가지 총정리에 대해 알아보았습니다.
'건강' 카테고리의 다른 글
| 십이지장 궤양 증상 10가지 총정리 (4) | 2024.09.30 |
|---|---|
| 코피가 자주나는 이유 10가지 총정리 (2) | 2024.09.29 |
| 백혈병 초기증상 10가지 총정리 (1) | 2024.09.25 |
| 백혈구 수치가 낮은 이유 12가지 총정리 (3) | 2024.09.24 |
| 비타민d 효능 13가지 총정리 (12) | 2024.09.23 |
